2025/08/18

お盆明けはリセットケアを!

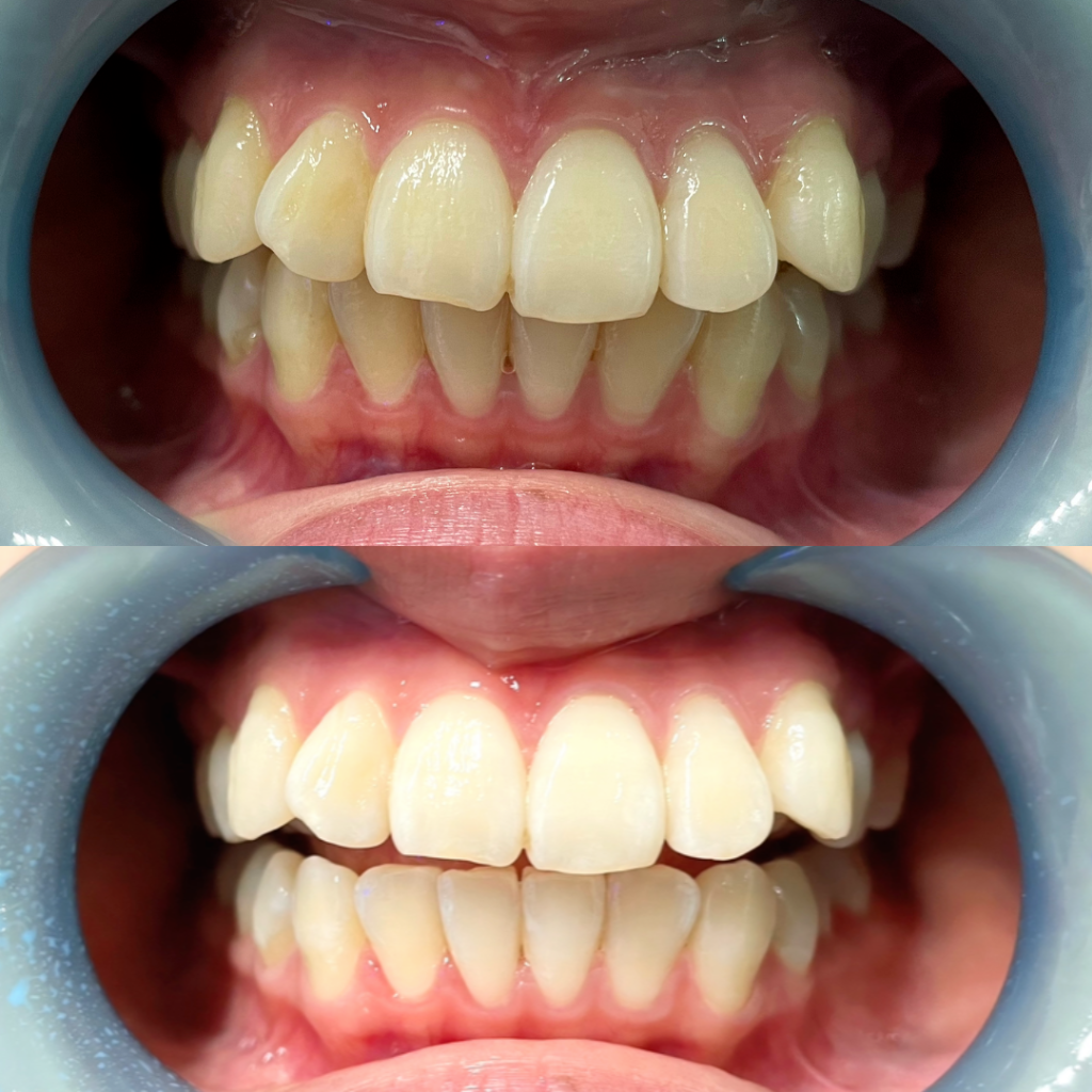
こんにちは!ホワイトニングサロンFlaT長野店です☆

皆様、お盆休みはいかがお過ごしでしたでしょうか?
お休み中のごちそうや不規則な生活で、歯やお口の環境もお疲れ気味。

・色の濃い飲み物で着色
・感触や甘い物による虫歯リスク
・ケア不足による口臭

そんなお盆明けこそ、ホワイトニング&デンタルケアを再スタートするベストタイミングです。

お口からリセットして、また新しい季節をリフレッシュに迎えましょう!

連休明けでお忙しい方、遠方からご来店の方には、通常のホワイトニングの2回分照射ができるロングコースがおすすめです♪一度のご来店で手軽に簡単トーンアップ☆

ぜひご予約お待ちしております(^^)/


長野市 ホワイトニング 安いセルフ おすすめ 千曲 上田 上越 須坂 ホワイトニング ブライダル ダイエット 痩身 まつ毛 ワックス フェイシャル ヘッドスパ まつ毛 マツエク まつげパーマ ブログ画像アイブロウワックス
お盆明けはリセットケアを!
お盆明けはリセットケアを!

2025/07/29

憧れの引き締まったボディーに☆

こんにちは♪ホワイトニングサロンFlaT長野店です
本日はフラットの痩身部門人気メニュー”エムスレンダー”を紹介いたします。

写真の通り30分間寝ているだけで・・・

お身体の気になる部分にEMSがアプローチしてくれます
筋トレでは鍛えにくいインナーマッスル(筋肉の深部)までしっかりトレーニング☆

施術可能箇所は
◇腹部(ウエスト)
◇臀部(ヒップ)
◇太もも
◇二の腕
◇ふくらはぎ です:)

理想のボディーに近づけるように、スタッフがお一人おひとりに合った施術クールや、メニューを提案させて頂いております。
一緒に健康的で理想のボディーを目指していきましょう☆☆
憧れの引き締まったボディーに☆
憧れの引き締まったボディーに☆

2025/07/28

ホワイトニングは男性にもおすすめ!自己投資メニュー☆

こんにちは♪ホワイトニングサロンFlaT長野店です!

美容への自己投資が注目されるなか、女性だけではなく男性も自身の外見を磨くことで得られるメリットが数多くあります。例えば、第一印象が良くなり自信をもつきっかけとなるなど、仕事やプライベートでの印象が変わることもあるでしょう。今回は、男性にとってのホワイトニングのメリットとおすすめの自己投資方法についてご紹介します(*^^*)

―メリット―
●清潔感がアップ
●手軽に自然な白さをゲットできる
●歯を傷めない
●笑顔に自信が持てる
●虫歯や口臭の予防になる
●セラミックなどに比べてコストを抑えられる
など様々なメリットが♪


―おすすめの自己投資―
●眉毛カット
眉毛は顔の印象を大きく左右するパーツで、整えるだけで清潔感や男らしさを引き立てることができます。FlaTではホワイトニングに加えてアイブロウWaxメニューをおすすめしています☆

●ホワイトニング
白い歯は清潔感を与えるだけではなく、若々しい印象を与えます。素敵な笑顔になることで異性にモテるように♪一度で効果をより実感したい方には、ホワイトニングのロングコースがおすすめです!

●筋トレ
筋トレは体を引き締めるだけではなく、脂肪燃焼効果やストレスも解消も期待できます!
自分で筋トレをするのは大変ですが、FlaTでは寝ているだけで筋トレができるエムスレンダーがございます!

●小顔矯正
お顔の骨格が整うだけで、小顔になるだけではなくお顔の印象が良くなります☆
痛みの弱い男性にもFlaTの美整顔矯正は痛みもなく心地良く綺麗になれるのでとってもおすすめです!



長野市 ホワイトニング 安いセルフ おすすめ 千曲 上田 上越 須坂 ブライダル ダイエット 痩身 眉毛 まつ毛 ワックス 小顔矯正 ヘッドスパブログ画像



ホワイトニングは男性にもおすすめ!自己投資メニュー☆
ホワイトニングは男性にもおすすめ!自己投資メニュー☆

2025/07/27

歯は噛めば噛むほど強くなって若返る?って本当??

こんにちは♪ホワイトニングサロンFlaT長野店です

「噛めば噛むほど歯が強くなる」という言葉を聞いたことありませんか?!

結論から言えば半分は正しいですが半分は間違っています。

食べ物をよく噛んで食べることで唾液の分泌量が増えるのです。

唾液にはパロチンという成長ホルモンの一種が含まれています!
別名若返りホルモンと呼ばれており、認知症の予防に効果があるとされています。

虫歯や歯周病にかかっている人が歯や歯茎を鍛えるために歯を噛んだとしても逆効果です、、、
虫歯の場合は、エナメル質が溶けている状態を広げてしまい虫歯が悪化する可能性があります

歯周病の場合は、過度な噛む力によって負担がかかり、歯が動くので歯周病を進行させてしまいます。





効果に自信あり!!オールハンド美整顔小顔矯正術!
心地よく綺麗に!美整顔小顔矯正術がモニター様としてお得に受けられます☆
先着5名様限定メニューです!!
ご予約はお早めに♪♪



長野市 ホワイトニング 安いセルフ おすすめ 千曲 上田 上越 須坂 ホワイトニング ブライダル ダイエット 痩身 眉毛 まつ毛 ワックス フェイシャル ヘッドスパ




歯は噛めば噛むほど強くなって若返る?って本当??
歯は噛めば噛むほど強くなって若返る?って本当??

2025/07/26

汚れの落ちやすいブラッシング方法😊

こんにちは♪ホワイトニングサロンFlaT長野店です。

皆さんは磨き方などを意識しながらブラッシングをしていますか?
なんとなくで歯を磨いている方も多いと思います
そこで、、今回は汚れの落ちやすいブラッシング方法を教えちゃいます!!


1.順番を決めて磨く
順番を決めずにその時の気分で何となく手を動かして歯を磨いていませんか?
磨き残しを防ぐためには、毎回バラバラではなく自分なりにブラッシングの順番を決めておくことが大切です!

どう決めればいいか分からない!そんな方はこの順番がおすすめ◎

☆右利きの方におすすめのルート
 下の右奥歯→下の前歯→下の左奥歯→上の右奥歯→上の前歯→上の左奥歯

☆左利きにおすすめのルート
 下の左奥歯→下に前歯→下の右奥歯→上の左奥歯→上の前歯→上の右奥歯



2.平行に当てて小刻みに揺らす
歯磨きのルートが決まったら、乾いた歯ブラシに1.5センチ~2センチ程度の歯磨き粉をつけ、歯と平行に当てて小刻みに揺らしましょう!
1本の歯につき小さく10回程度揺らしたら隣の歯へと移動させます。
歯ブラシを大きく揺らすと毛先が歯の隙間に入り込まず磨き残しの原因となるため注意が必要です!



3.角度を工夫する
歯並びは人によって異なる為自分の歯の形にあわせて角度を工夫することが大切です!
歯と歯の間に挟まった食べかすは、隙間を目がけて毛先が入り込むように小刻みに動かすと汚れが落ちやすくなります!
デリケートな歯と歯肉の境目は、歯に対して歯ブラシを45度の角度で当てて動かしましょう!
※強い力で磨くと歯茎を傷つけてしまうため、力加減には十分注意してください


これらの方法で汚れが落ちやすくなります!!
ぜひ今日のブラッシングから試してみてください♪
毎日のブラッシングできれいな口内を保ちましょう☆

長野市 ホワイトニング 安い セルフ おすすめ 千曲 上田 上越 須坂 ホワイトニング ブライダル ダイエット 痩身 眉毛 まつ毛 ワックス フェイシャル ヘッドスパ

汚れの落ちやすいブラッシング方法😊
汚れの落ちやすいブラッシング方法😊
セルフホワイトニングサロン FlaT